治療期間1.5年 上下左右4番抜歯を行った症例
【治療前】






【治療中】
【治療後】






| 主訴 | 上顎両側2番が引っ込んでいる、下顎前歯のがたがた、口元が少し気になる |
|---|---|
| 年齢・性別 | 20代、女性 |
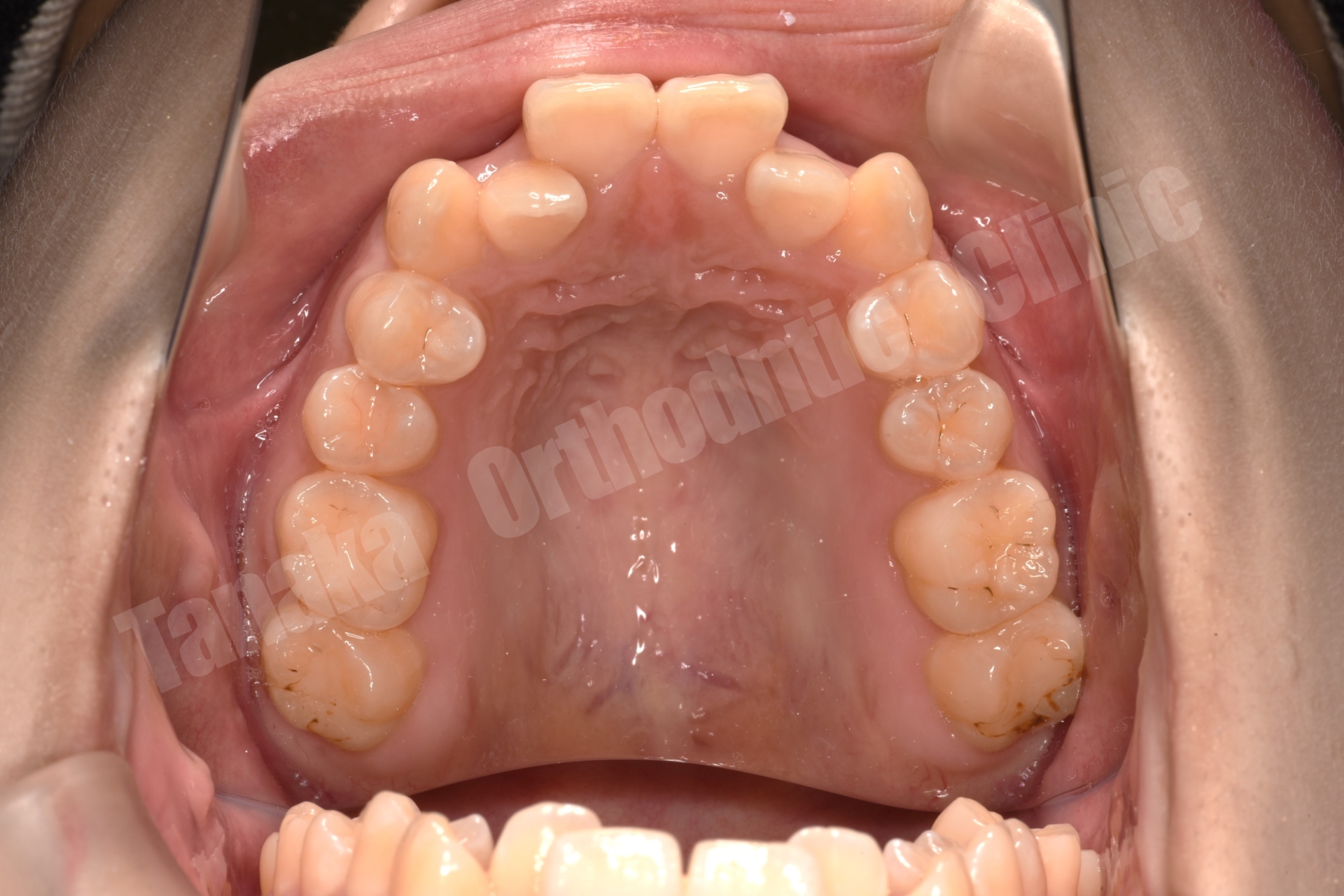
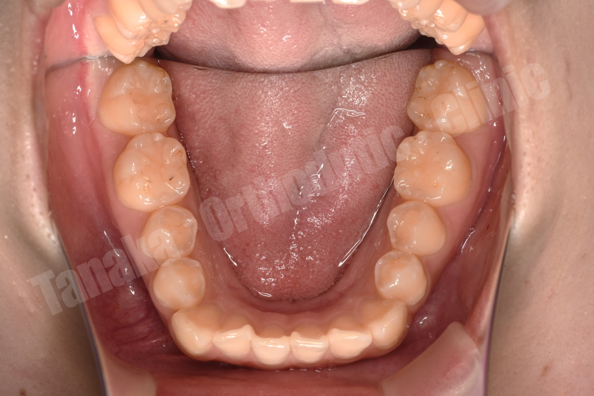
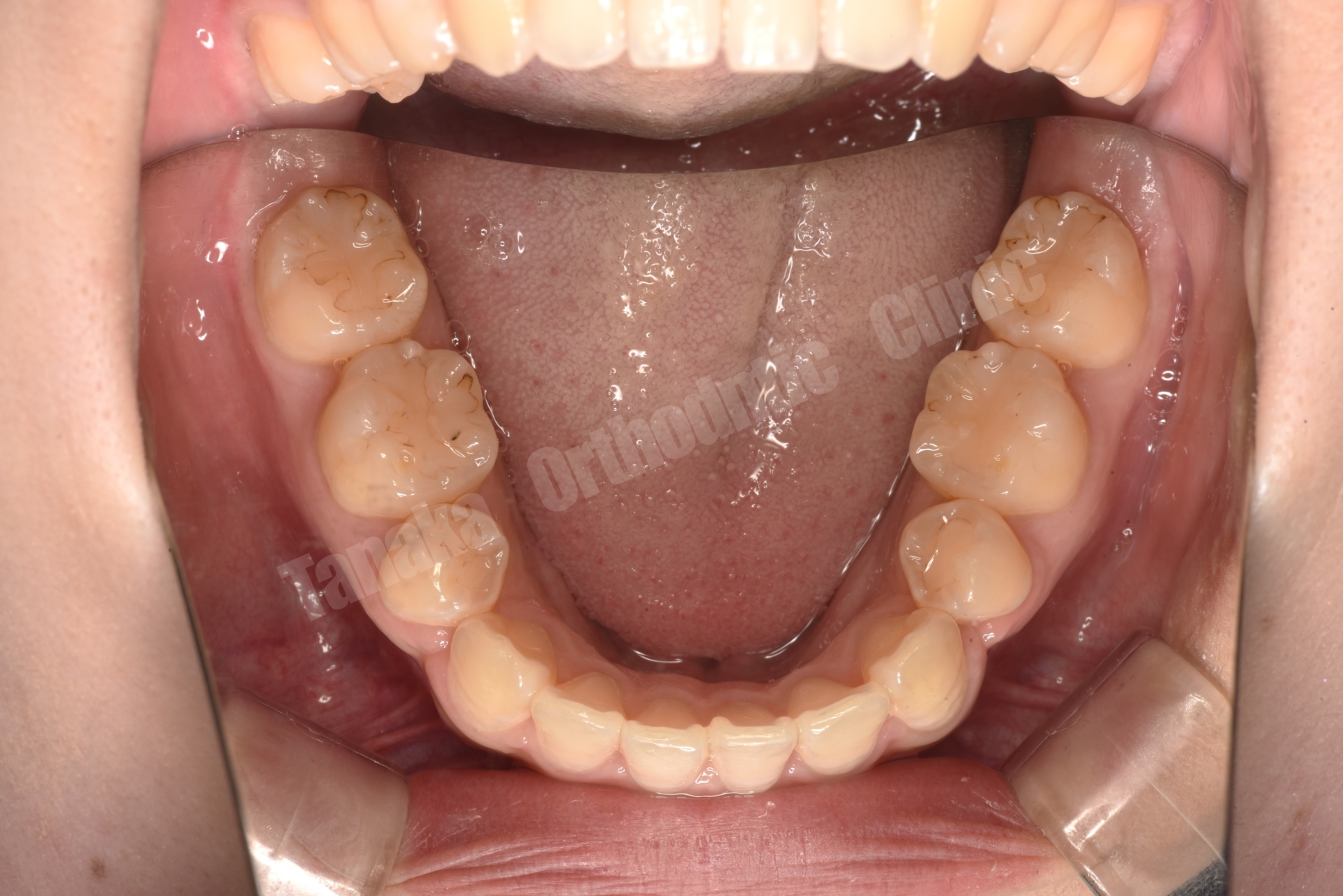
| 診断 | 上下顎歯列の叢生(2番のクロスバイト)、上下正中の不一致、上下左右8番を認める |
| 治療期間 | 約1年半 |
| 抜歯/非抜歯 部位 | 上下4番抜歯 |
| 治療装置 | 唇側マルチブラケット装置 顎間ゴム 矯正用アンカースクリュー |
| 治療の主なリスク・副作用 | 前歯の歯根吸収、前歯部の歯肉退縮やブラックトライアングルが生じる可能性がある、顎間ゴムによる顎関節症が生じる場合がある。 |
| 治療費用 | 約110万円 |
症例解説
症例紹介
■ 主訴
口元の突出感および叢生の改善を希望され来院されました。
■ 初診時の所見
上下顎前歯の叢生と正中の不一致、側切歯の反対咬合を認めましたが、他に著しい異常は認められませんでした。口元のバランスは大きく崩れていない状態でした。
当初は非抜歯矯正も選択肢としてご提案しましたが、口元の突出感をしっかり改善したいというご本人のご希望を踏まえ、上下左右4番抜歯による矯正治療を行うこととしました。
■ 治療経過
2024.5 上顎左右4番抜歯・上顎装置装着
2024.6 下顎左右4番抜歯・下顎装置装着
2024.9 前歯部牽引開始、反対咬合改善
2024.11 顎間ゴム開始
2025.7 抜歯スペースほぼ閉鎖
2025.11 装置撤去
スペース閉鎖にやや時間を要しましたが、約1年半で装置を撤去しました。
■ 治療結果
・上下正中の一致
・緊密で安定した咬合の獲得
・側貌(横顔)の改善
・口元の突出感の改善
を確認しました。
■ 保定
装置撤去後は、リテーナー(保定装置)を使用し、歯並びと咬合の安定を維持していきます。
21627