10代の矯正がおすすめ‼ 通常3年の治療期間が1年に‼ 高3の夏から矯正を開始したケース












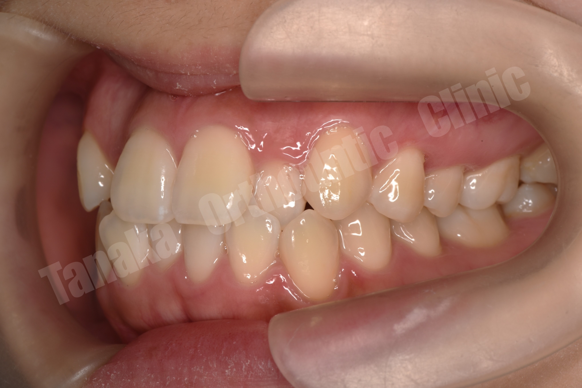
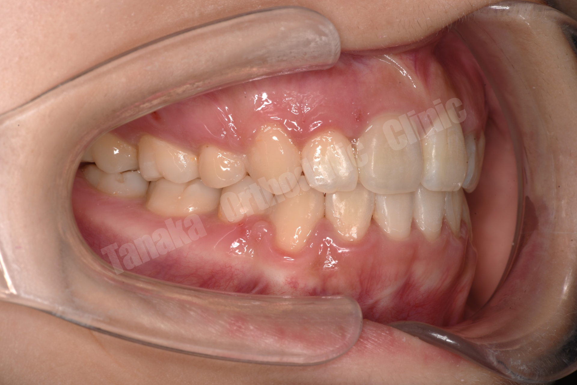
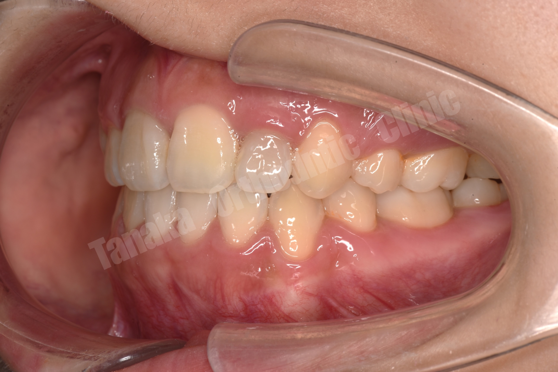
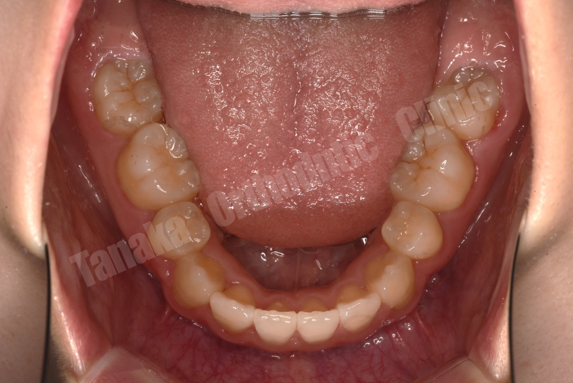
| 主訴 | 上下顎前歯のがたがた、口元が気になる |
|---|---|
| 年齢・性別 | 10代、女性 |
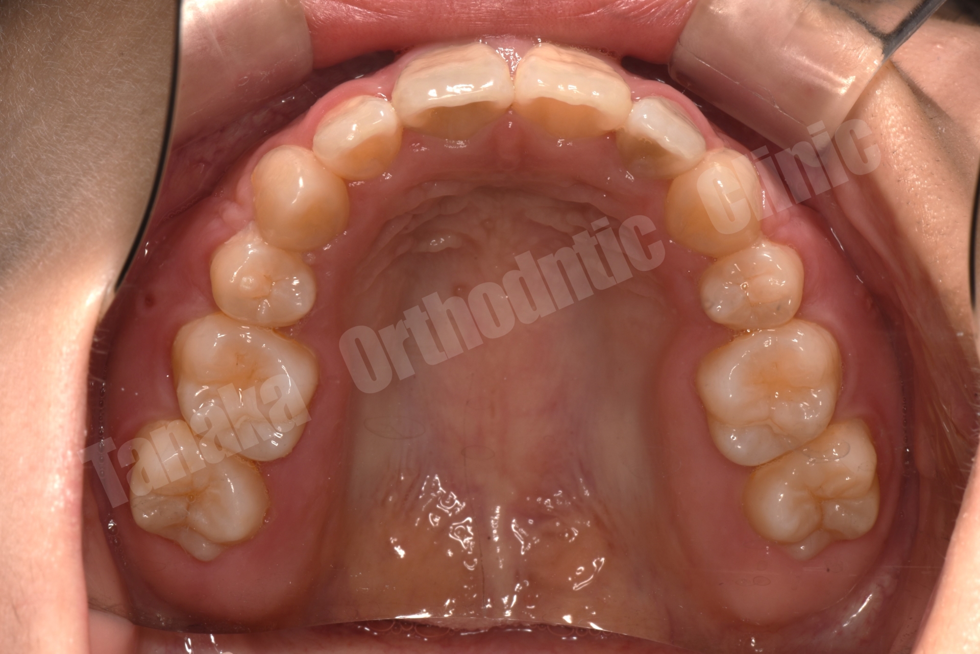
| 診断 | 上顎前突傾向(下顎骨の後方位)、上下顎歯列の叢生、上下左右8番を認める |
| 治療期間 | 約1年 |
| 抜歯/非抜歯 部位 | 上下4番抜歯 |
| 治療装置 | 唇側マルチブラケット装置 顎間ゴム 矯正用アンカースクリュー |
| 治療の主なリスク・副作用 | 前歯の歯根吸収、前歯部の歯肉退縮やブラックトライアングルが生じる可能性がある、顎間ゴムによる顎関節症が生じる場合がある。 |
| 治療費用 | 約110万円 |
抜歯が必要な難症例でも、1年でここまで変われる!
〜高校3年生・女性の矯正治療〜
「歯並びを治したいけど、もう高校3年生。受験や引っ越しもあるし、今からじゃ遅いかも…」
そんな不安を抱えながら治療をスタートしたのは、ある高校3年生の女性でした。
📋 診断と治療計画
この患者様は、以下のような特徴を持つケースでした:
-
Angle Class I(第一大臼歯の正常なかみ合わせ)
-
ハイアングル傾向(下顎骨が後下方へ回転するタイプ)
-
上下前歯部に叢生(がたがた歯列)
-
下顎前歯(L1)が前方に傾く「唇側傾斜」
口元の突出感をしっかり改善したいとのご希望があったため、
上顎には**最大限のアンカレッジ(MAX anchorage)が必要でした。
そのため、治療開示時に矯正用アンカースクリューを上顎に埋入する計画を立てました。
🦷 治療の経過
-
スタート時期:高校3年の夏休み
-
上下4本の小臼歯を抜歯後、矯正装置を装着
-
翌春から県外に引っ越し
→その後は2か月ごとの通院に切り替え -
約1年1か月でデボンド(装置撤去)完了!
-
最終的には、整った歯並び・自然な口元・清掃性の改善を実現
🔍 ポイントとメッセージ
10代の矯正治療は、骨や組織の反応が非常に良いのが大きな特徴です。
今回のような一見シビアなケース(叢生+抜歯+MAXアンカレッジ)でも、
わずか1年ちょっとで美しい仕上がりを得ることができました。
💡なぜ、短期間で終えられるのか?
① 成長期(10代)の反応力
成長期の骨は動きやすく、歯の移動スピードが格段に違います。10代のうちに始めることで、治療が格段にスムーズに。
② 高度な力のコントロール技術
当院では、セルフライゲーションブラケット+スライディングメカニクスを用いた力の制御により、無駄なく効率よく歯を動かします。
③ 必要に応じたアンカレッジ設置(IA)
口元をしっかり引っ込めるため、上顎にインプラントアンカー(IA)を戦略的に埋入。下顎にも必要に応じて対応。
受験、進学、引っ越しなど、ライフイベントが重なる時期でも、
しっかりとした治療計画と、柔軟な通院調整があれば無理なく矯正治療ができます。
📣 いま治療を始めようか迷っているあなたへ
「10代最後のチャンスかも…」
「受験と矯正、両立できるかな?」
そんな方にこそ、私たちは最適な治療プランをご提案できます。
遠方への引っ越し後も2か月おきの来院で完了した症例もあります。
まずはお気軽にご相談ください。