2度目の矯正ー口元が気になり上顎小臼歯抜歯&下顎乳臼歯抜歯を行ったケース(最大11㎜のスペース閉鎖を行った症例)

















| 主訴 | 出っ歯、噛んでない |
|---|---|
| 年齢・性別 | 20代、女性 |
| 診断 | 上顎前歯の唇側傾斜(前歯部水平被蓋が大きい)、下顎正中の左偏位、右下E残存(5番の先欠)、下顎両側7番の位置異常(右側未萌出&左側半萌出)、上顎両側1番の歯根が短い |
| 治療期間 | 1年8か月 |
| 抜歯/非抜歯 部位 | 上顎両側4番、右下E抜歯(右下5番先欠) |
| 病歴 | 10台半ばで一旦非抜歯で矯正終了したが、口元の突出が気になり再治療を希望した。 |
| 治療装置 | 唇側マルチブラケット装置 顎間ゴム 矯正用アンカースクリュー |
| 治療の主なリスク・副作用 | 前歯の歯根吸収、前歯部の歯肉退縮やブラックトライアングルが生じる可能性がある、顎間ゴムによる顎関節症が生じる場合がある。 |
| 治療費用 | 約100万円 |
出っ歯と前歯が噛めない症例|再矯正で口元を改善した治療例
「出っ歯が気になる」「前歯が噛んでいない」このようなお悩みで相談に来られる患者様は少なくありません。今回は、一度矯正治療を受けたものの口元の突出感が残っていた患者様の再矯正症例をご紹介します。
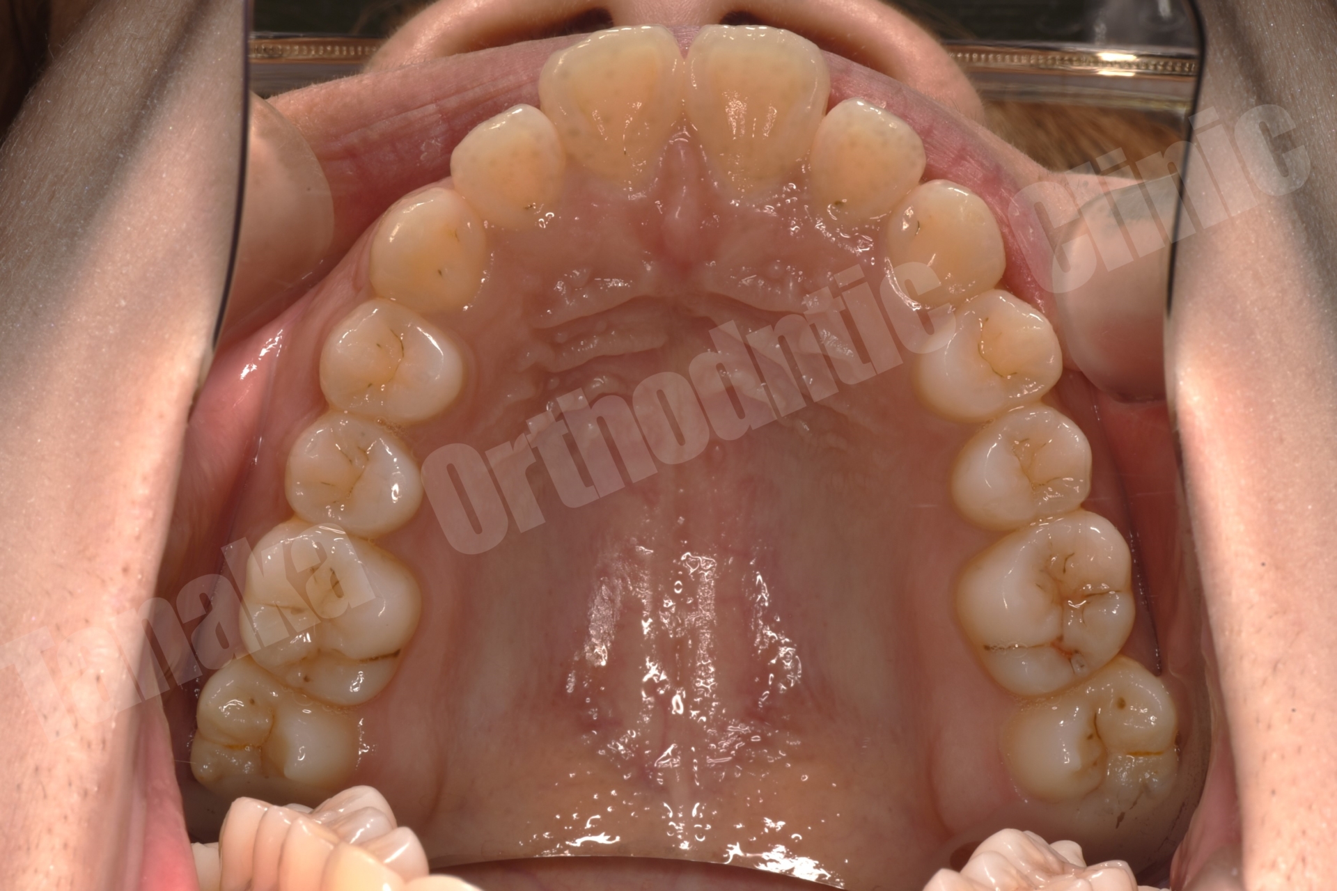
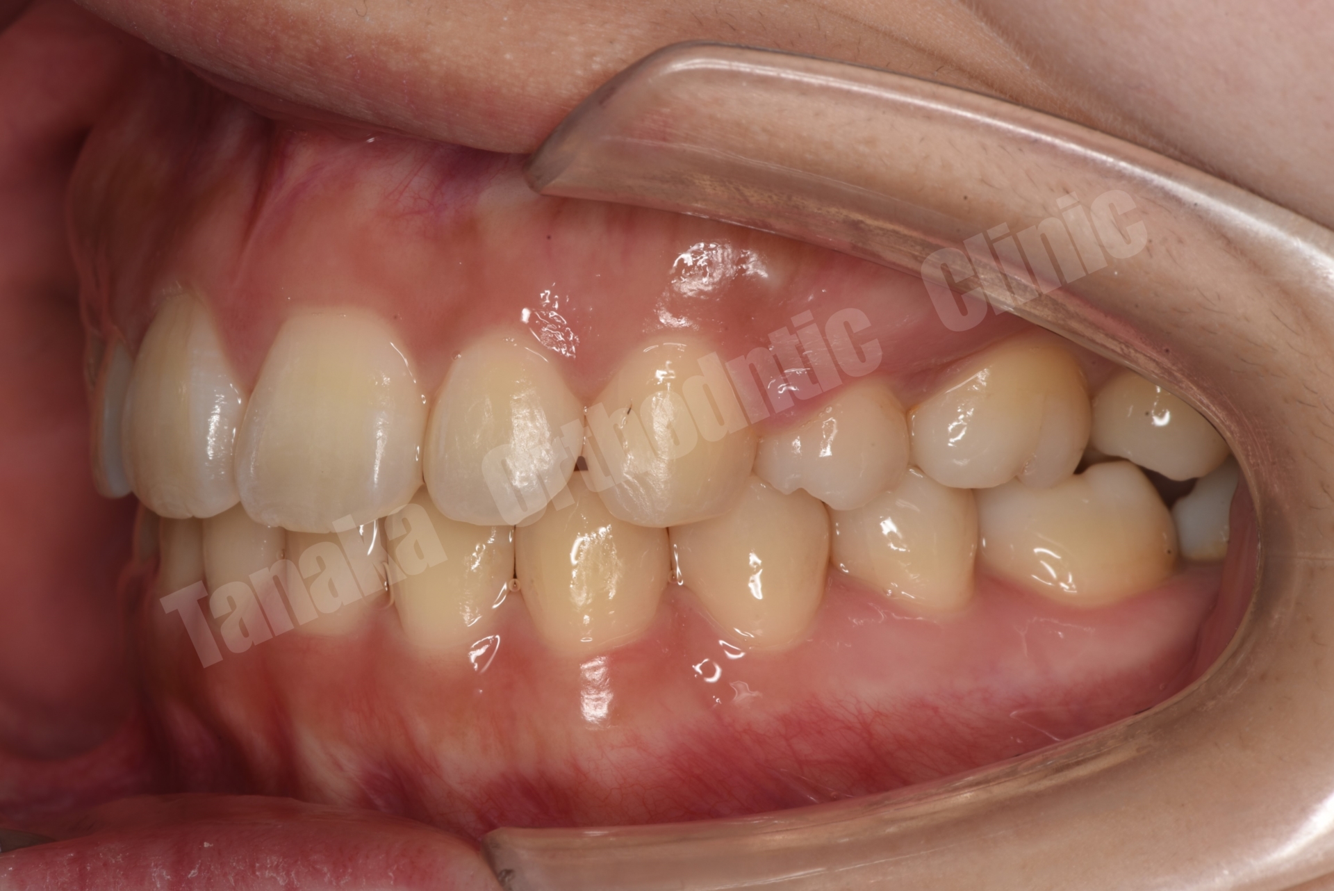
初診時の診査では、上顎前歯が唇側に傾斜しており、前歯の水平被蓋(オーバージェット)が大きい状態でした。そのため口元の突出感が認められ、前歯部は十分に噛んでいない状態でした。また下顎正中は左側へ偏位しており、右下E(乳臼歯)の残存と5番の先天欠如、さらに下顎両側7番の位置異常も確認されました。さらに患者様は10代半ばの頃に一度、非抜歯でマルチブラケット矯正を受けており、その影響もあって上顎中切歯には歯根吸収が生じ、歯根がやや短くなっている所見も認められました。
治療後も口元の突出感が気になっていたため、今回あらためて矯正治療を希望されました。また右下の乳臼歯については、将来的に自然脱落した場合にインプラントなどの補綴治療が必要になる可能性を考慮し、抜歯してスペースを閉鎖したいというご希望がありました。
そこで治療では上下歯列に唇側マルチブラケット装置を装着し、歯列全体の排列を行いました。上顎前突を改善するため上顎両側4番を抜歯し、前歯を後退させて口元のバランスを整える計画としました。さらに下顎正中の改善のため右下Eを抜歯し、約11mmある乳臼歯部のスペース閉鎖を行う計画としました。このスペース閉鎖には矯正用アンカースクリューを使用し、右側6番・7番を近心移動させる必要があります。また治療途中で萌出してくる右下7番の位置を適切にコントロールすることも重要なポイントとなります。
今回の症例では、11mmという比較的大きなスペース閉鎖に加え、治療途中で萌出してくる7番のコントロールも必要となるため、通常より難易度の高い治療となりました。そのため治療期間は通常よりやや長くなる可能性を考慮し、2年以内での治療終了を目標として治療を開始しました。
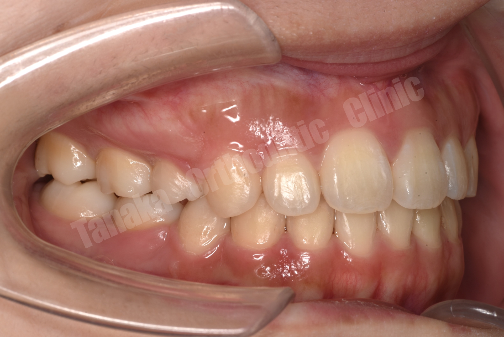
結果として歯の移動は順調に進み、約1年8か月で治療を終了することができました。気になっていた上顎前歯の突出感と側貌は改善し、前歯の咬み合わせも回復しました。また右下乳臼歯部のスペースを閉鎖することで、将来的にインプラントなどの補綴処置が必要になる可能性も回避することができました。
矯正治療では単に歯並びを整えるだけでなく、口元のバランスや咬み合わせの機能、さらには将来的な歯の状態まで考慮することが重要です。当院では患者様のご希望と口腔内の条件を踏まえながら、長期的な安定性を見据えた総合的な治療計画を立てています。
出っ歯や再矯正でお悩みの方は、お気軽にご相談ください。
20382