ガタガタ・出っ歯 インハウスアライナー
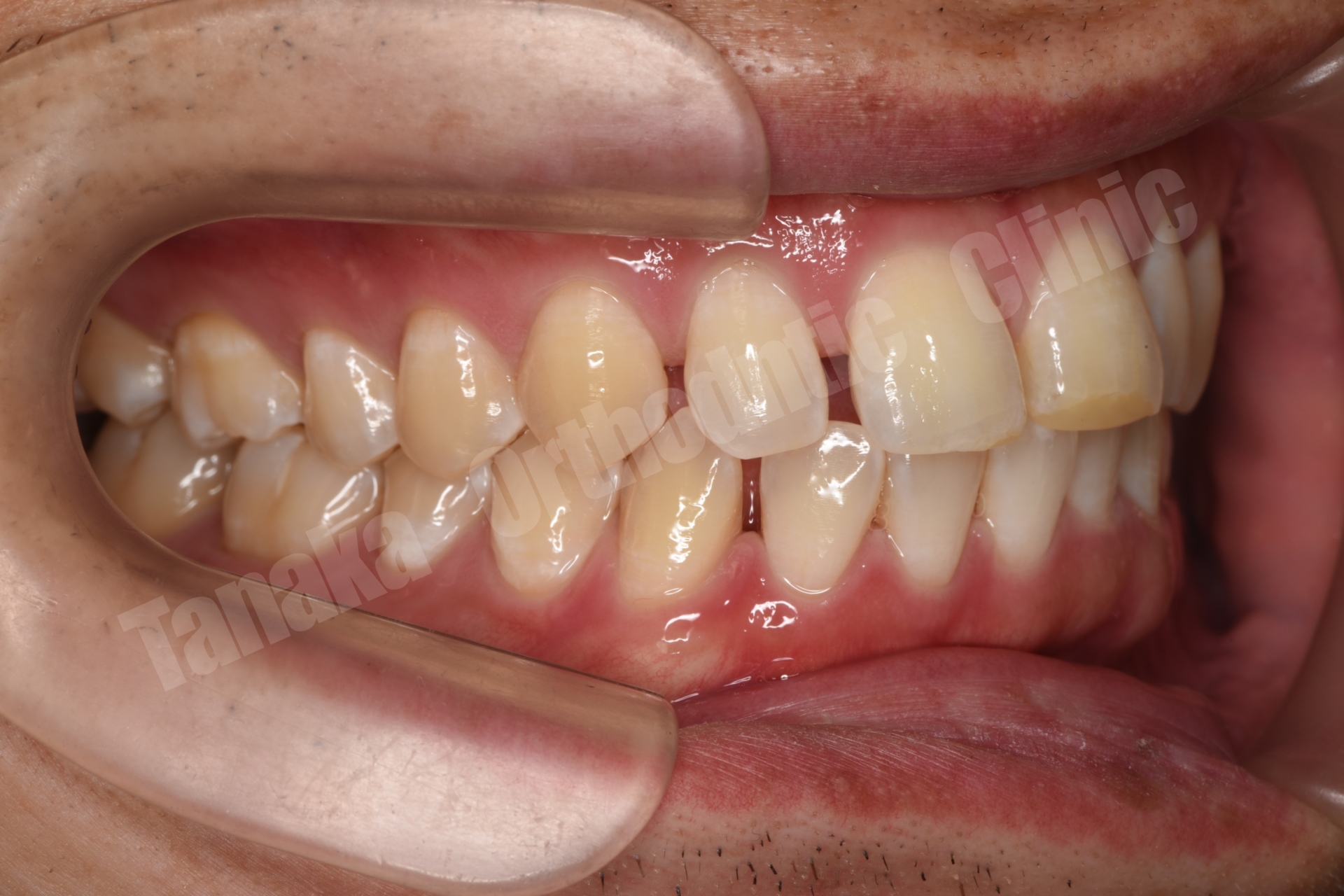
【治療前】






【治療中】
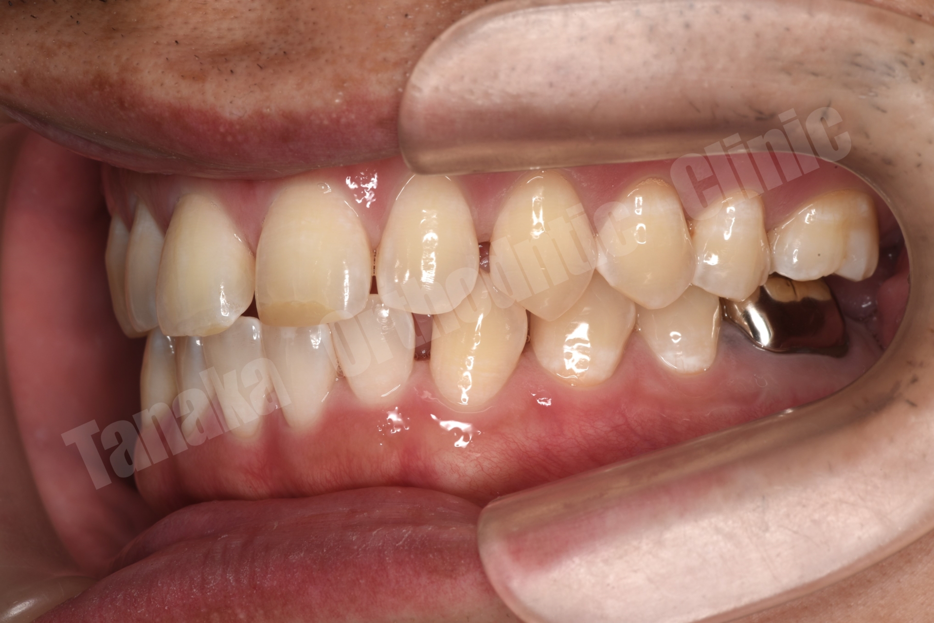
【治療後】






| 主訴 | 上下前歯部のすきっ歯 |
|---|---|
| 年齢・性別 | 30代、男性 |
| 診断 | 上下前歯部のスペース、咬合平面の傾き、上下左右8番を認める |
| 治療期間 | 7か月 |
| 抜歯/非抜歯 部位 | 非抜歯 |
| 治療装置 | マウスピース型装置 |
| 治療の主なリスク・副作用 | 前歯の歯根吸収、前歯部の歯肉退縮やブラックトライアングルが生じる可能性がある、顎間ゴムによる顎関節症が生じる場合がある。 |
| 治療費用 | 約¥70万 |
症例解説
当院では近年、インビザライン等の外注型アライナーに加え、自院製作のインハウスアライナーを導入しています。今回の症例では比較的軽度の叢生&スペースドアーチを持つ30代男性に対し、自院作成のアライナーで治療を開始しました。治療方針の決定から約1週間後には1stセットのアライナーを装着。2ヶ月後には捻転が改善し、4ヶ月後の再スキャンで新たなステージを設計。全体の歯列が安定した7ヶ月目にはリテーナーへ移行できました。
インハウスアライナーの最大の利点は、ステージごとの調整や再出力が即時対応可能な点にあります。患者様が装置を破損しても、院内プリントにより翌日には再装着でき、治療の遅延が最小限に抑えられます。素材選定やアタッチメント設計も症例に応じて柔軟に行えるため、結果として治療期間・治療精度・患者満足度ともに非常に高い結果が得られました。