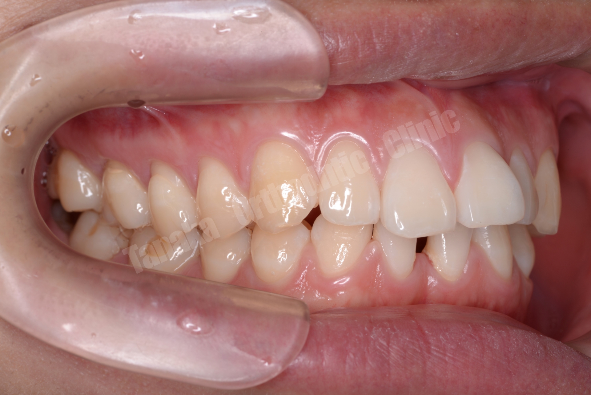
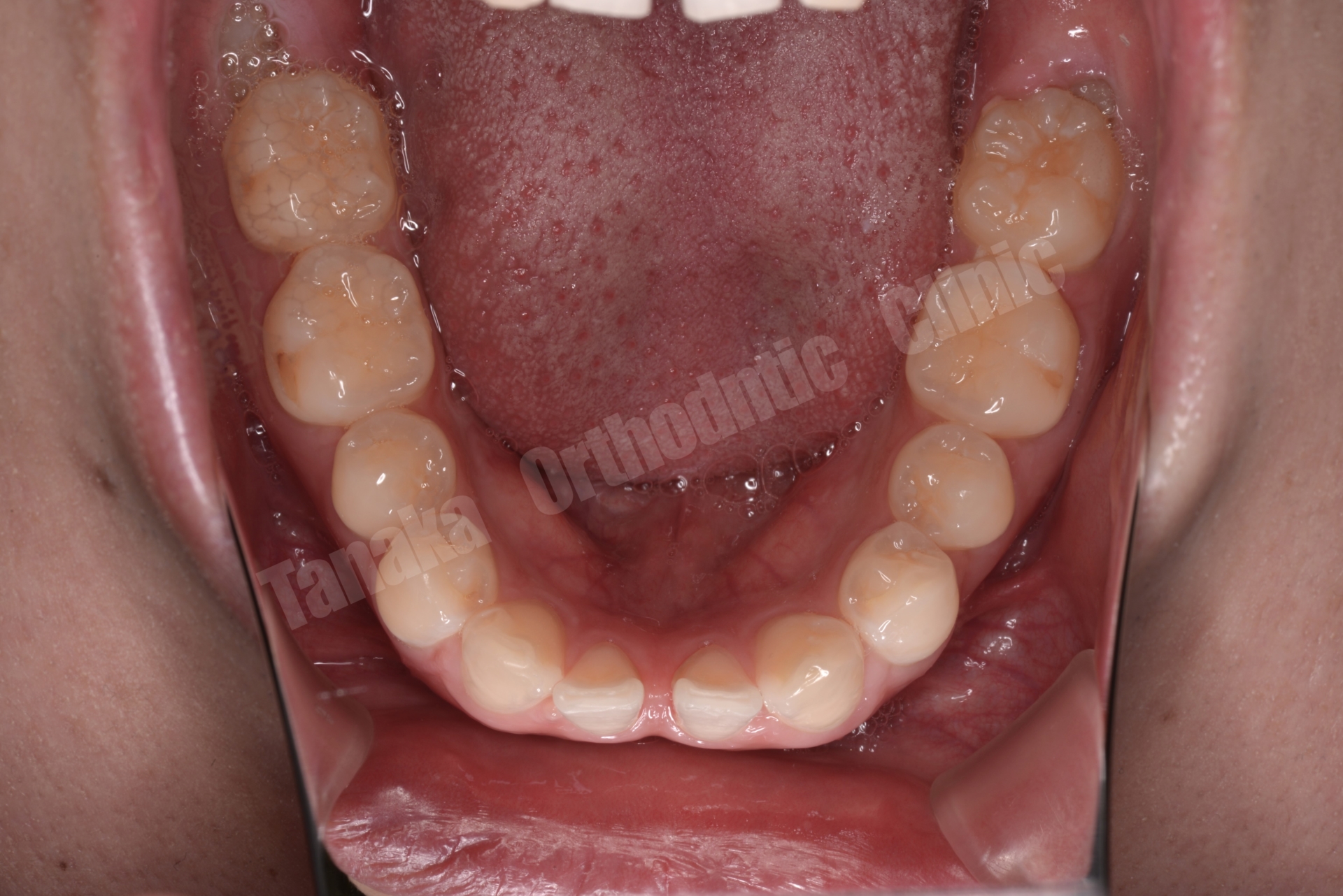
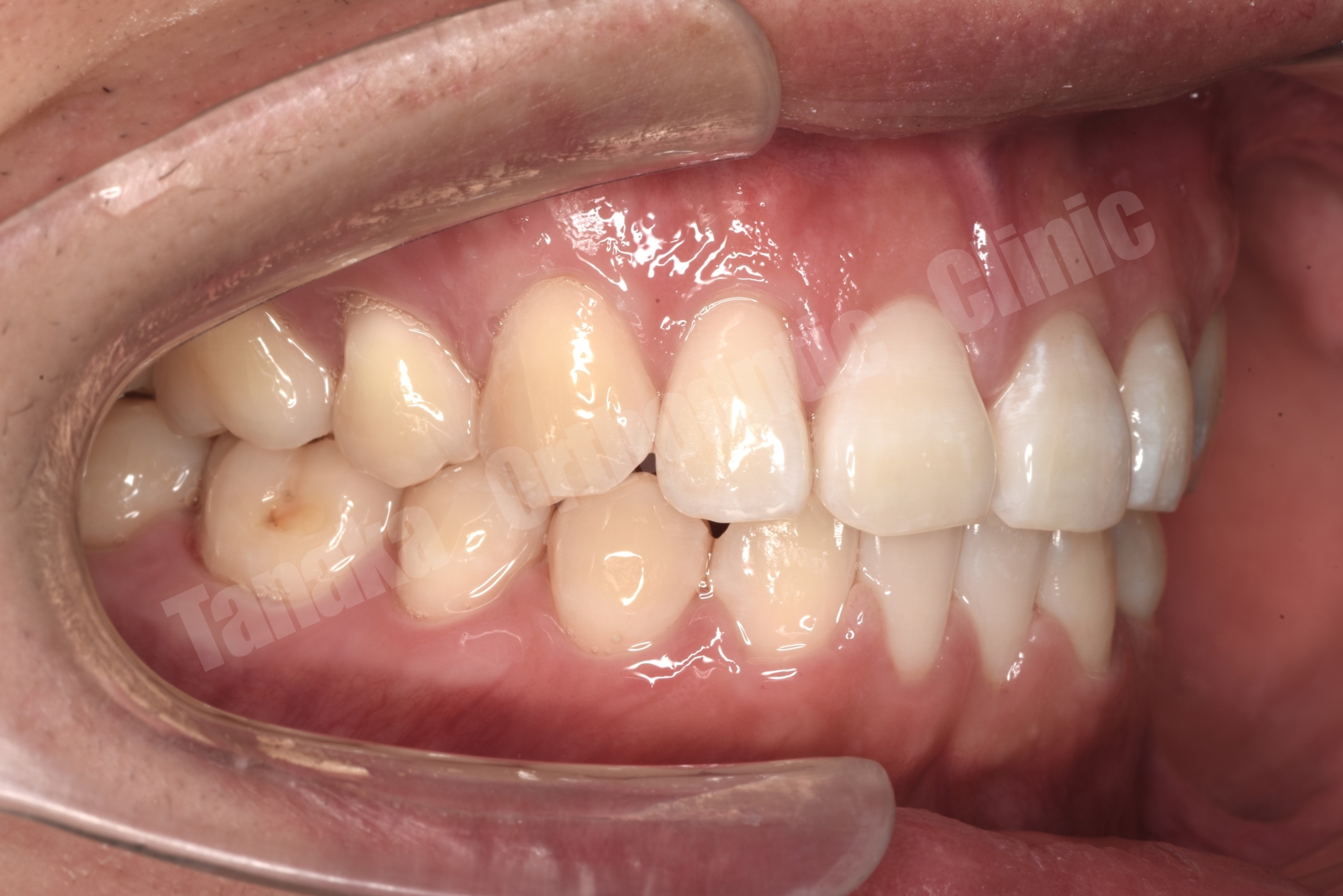
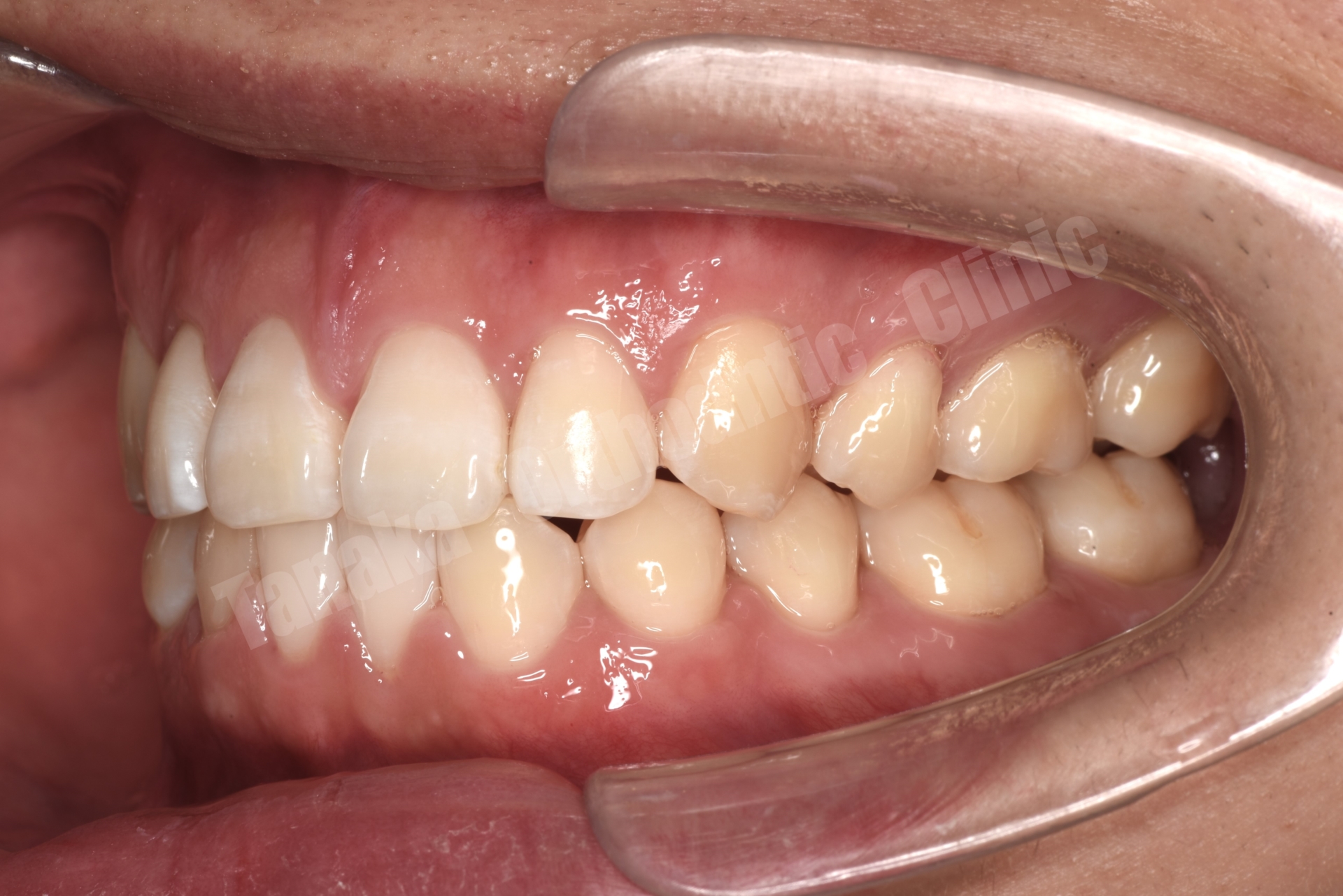
ガタガタ・出っ歯・先天欠損
【治療前】






【治療後】






| 主訴 | 出っ歯、すきっ歯、口元が出ている |
|---|---|
| 年齢・性別 | 20代、男性 |
| 診断 | 下顎前歯の先天欠如(2本)によるスペースドアーチ、上顎前歯の唇側傾斜、前歯部水平被蓋が大きい、上顎前歯部叢生、両側AngleⅡ級、上下顎両側8番の埋伏歯、全体的に歯根が短い |
| 治療期間 | 約3年 |
| 抜歯/非抜歯 部位 | 抜歯 上顎両側4番 |
| 治療装置 | マウスピース型矯正装置(インビザライン) 顎間ゴム |
| 治療の主なリスク・副作用 | 前歯の歯根吸収、前歯部の歯肉退縮やブラックトライアングルが生じる可能性がある、顎間ゴムによる顎関節症が生じる場合がある。 |
| 治療費用 | ¥88万 |
症例解説